La dégénérescence maculaire liée à l’âge, également appelée DMLA, est une pathologie chronique de la rétine qui apparaît après 50 ans. Plusieurs symptômes peuvent alerter d’une DMLA : diminution de l’acuité visuelle, baisse de la vision nocturne, des lignes déformées,.
Afin de prévenir cette maladie, un bilan ophtalmologique ou des tests visuels sont proposés.
Qu’est-ce que la dmla ?
La dégénérescence maculaire liée à l’âge (DMLA) est une maladie dégénérative de la rétine qui survient après l’âge de 50 ans. Elle correspond au vieillissement trop rapide des cellules de la zone centrale de la rétine appelée macula. Cette maladie oculaire chronique et potentiellement évolutive est la première cause de malvoyance après 60 ans dans les pays développés. Elle entraîne une perte progressive de la vision centrale alors que la vision périphérique reste épargnée.
Les différentes formes de DMLA
MLA : La maculopathie liée à l’âge (phase précoce de la maladie)
La MLA débute par une accumulation, le plus souvent asymptomatique, de petits dépôts jaunâtres (drusen) au fond de l’œil, sous la zone centrale de la rétine. Autre signe précurseur, les modifications atrophiques de l’épithélium pigmentaire qui correspondent à une altération de la couche cellulaire pigmentée située sur la surface externe de la rétine. A ce stade, il n’y a pas de dégénérescence maculaire c’est-à-dire de destruction de cellules neuronales. La MLA touche jusqu’à 20% des personnes de plus de 75 ans. Dans la moitié des cas, elle restera stable mais 50% des patients vont développer une forme avancée de la maladie avec une perte des photorécepteurs : c’est la DMLA.
La DMLA atrophique (forme sèche)

La DMLA atrophique (forme sèche) est la plus fréquente. Le défaut d’oxygénation des cellules de la rétine centrale engendre une perte progressive et prématurée des photorécepteurs, et l’épaisseur de la rétine s’atrophie avec le temps. La maladie progresse lentement, les premiers signes pouvant mettre entre 5 et 10 ans avant d’apparaître. Mais elle provoque inéluctablement une sévère perte de vision à terme. Il n’y a actuellement pas de traitement contre cette forme de DMLA qui laisse un scotome central important, c’est-à-dire la présence d’une grosse tache noire dans le champ visuel central. Dans certains cas, la DMLA sèche évolue en DMLA humide, d’où l’importance d’un diagnostic rapide.
La DMLA exsudative (forme humide)

La DMLA exsudative (forme humide) concerne 15 à 20% des patients atteints de la maladie. Le défaut d’oxygénation des cellules de la rétine provoque une croissance anormale des vaisseaux sanguins qui se ramifient à partir des vaisseaux choroïdiens préexistants. Les parois de ces néovaisseaux étant anormalement fragiles, leurs ruptures laissent passer du sérum et du sang dans la zone centrale de la rétine, à l’origine d’hémorragies ou d’un œdème maculaire. Les conséquences sont lourdes : fibroses, cicatrices rétiniennes, décollements de rétine responsables d’une dégradation de la vision centrale, à laquelle sont associées des métamorphopsies (déformations des images) et des micropsies (vision en plus petit que la réalité). La maladie peut évoluer rapidement et affecter la vision en quelques semaines ou quelques mois mais des traitements efficaces peuvent l’enrayer. Or, si la baisse de vision est réversible au stade d’œdème, elle ne l’est plus au stade de mort cellulaire. Le diagnostic de la DMLA humide à sa phase précoce est donc essentiel pour traiter les néovascularisations avant qu’elles n’entraînent des complications.
Quelles sont les causes de la DMLA ?
- L’accumulation des déchets liés au métabolisme cellulaire.
L’accumulation des déchets liés au métabolisme cellulaire.
Lorsque la lumière atteint la rétine, des photorécepteurs captent le rayonnement lumineux pour le traduire en influx nerveux. 90% de l’information visuelle traitée par le cerveau est transmise via la macula. Les réactions chimiques impliquées dans ce processus sont à l’origine de déchets qui sont recyclés en permanence. Mais avec le vieillissement, ces déchets peuvent être moins bien dégradés et s’accumuler au niveau de la macula sous la forme de petits dépôts jaunâtres appelés drusen. Cette accumulation de déchets est un phénomène normal lorsqu’elle est modérée : on parle de maculopathie liée à l’âge (MLA). Mais lorsque ces déchets s’accumulent en quantité trop importante, ils perturbent l’oxygénation des cellules rétiniennes et causent leur perte irréversible, altérant ainsi le bon fonctionnement de la macula.
- Les conséquences : une défaillance de la vision centrale.
Les conséquences : une défaillance de la vision centrale.
La macula contient les cellules visuelles responsables de la vision nette et fine des détails et des couleurs. Son altération entraîne donc une baisse de l’acuité visuelle centrale, ainsi qu’une tâche sombre et des déformations du champ visuel central. Les patients atteints de DMLA avancée perdent le champ de vision central requis pour reconnaître les détails ou les visages, ou pratiquer des activités nécessitant précision et fixation du regard comme la lecture, la conduite automobile ou regarder la télévision. Ils ne sont cependant pas aveugles et conservent une autonomie suffisante pour se déplacer grâce au champ visuel périphérique qui n’est pas atteint.
Quels sont les symptômes de la DMLA ?
La macula contient les cellules visuelles responsables de la vision nette et fine des détails et des couleurs. Son altération entraîne donc une baisse de l’acuité visuelle centrale, ainsi qu’une tâche sombre et des déformations du champ visuel central. Les patients atteints de DMLA avancée perdent le champ de vision central requis pour reconnaître les détails ou les visages, ou pratiquer des activités nécessitant précision et fixation du regard comme la lecture, la conduite automobile ou regarder la télévision. Ils ne sont cependant pas aveugles et conservent une autonomie suffisante pour se déplacer grâce au champ visuel périphérique qui n’est pas atteint.
La grille d’Amsler :un test d’autosurveillance de la vue après 50 ans
Le test de la grille d’Amsler est un test d’auto-surveillance de la vue qui permet de mettre facilement en évidence d’éventuels symptômes de la DMLA.
Comment utiliser la grille d’Amsler ?
1.Mettez vos lunettes ou lentilles de contact correctrices et placez-vous à une distance de 30 à 40 cm de la grille.
2.Cachez un œil et fixez avec l’autre le point central de la grille à la recherche de déformations.
3.Répétez l’opération avec l’autre œil.
Toutes les lignes doivent normalement apparaître droites et parallèles, toutes les intersections doivent former des angles droits et tous les cadres doivent être de la même taille. Si le point n’est pas vu ou n’est plus central, que la grille est déformée ou les lignes brisées, vous devez consulter très rapidement un ophtalmologiste.
Comment prévenir la DMLA?
- DMLA : les personnes à risque
DMLA : les personnes à risque
La DMLA affecte actuellement un million de personnes en France.
Des facteurs significatifs semblent favoriser son apparition :
- L’âge : l’incidence de la DMLA augmente avec l’âge puisque la maladie touche environ 30% des personnes âgées de plus de 75 ans et la moitié des plus de 80 ans.
- L’hérédité : en cas d’antécédents familiaux, le risque de développer la maladie est 4 à 6 fois plus important.
- Le tabagisme : la recherche a montré que fumer peut doubler ou tripler le risque de développer la DMLA.
- Autres facteurs de risques aggravants : les troubles circulatoires (hypertension artérielle), la surcharge pondérale, le régime alimentaire, la peau claire et l’exposition prolongée aux UV.
La maladie peut débuter après 50 ans mais le diagnostic est le plus souvent posé vers 65 ans en raison de la compensation de la vision par le deuxième œil moins atteint. A partir de 50 ans, surtout en cas d’antécédent familial de DMLA, un dépistage régulier chez votre ophtalmologiste permettra une prise en charge adaptée.
- La prévention de la DMLA
La prévention de la DMLA
La prévention de la DMLA La première des préventions consiste à dépister les patients à risque et les porteurs de MLA avant que les premiers signes de la DMLA se manifestent afin de les orienter vers des mesures de protection contre le vieillissement oculaire prématuré. Ces mesures, particulièrement indiquées au début des formes atrophiques pour réduire le risque d’évolution vers une forme avancée de la maladie, reposent sur le respect d’un certain nombre de règles d’hygiène de vie limitant les facteurs de risque :
- Éviter l’exposition au soleil excessive et porter des lunettes de soleil en cas d’exposition,
- Arrêter, le cas échéant, de fumer,
- Privilégier un régime quotidien riche en vitamines E et C, en zinc, en lutéine et en zéaxanthine, en antioxydants et en acides gras essentiels (oméga 3),
- Avoir une activité physique régulière, adaptée à sa condition physique,
- Suivre son poids et son taux de cholestérol.
Des compléments alimentaires (comme, entre autres, les anti-oxydants) qui ont démontré leur efficacité à forte dose dans la prévention de la DMLA peuvent être prescrits chez les personnes âgées et chez les patients présentant de hauts risques à être atteints par la maladie.
Comment faire le diagnostic de la DMLA ?
Le diagnostic et la surveillance de la maladie reposent sur l’analyse des différentes couches de la rétine et de ses vaisseaux, établie à l’issue d’une série d’examens.
- La mesure de l'acuité visuelle
La mesure de l’acuité visuelle
La mesure de l’acuité visuelle, en vision de loin et de près, vise à explorer la fonction de la macula.
- L’examen du fond d’œil
L’examen du fond d’œil
L’examen du fond d’œil au biomicroscope permet de visualiser la macula. Il est souvent associé à des photographies de la rétine permettant un suivi des lésions dans le temps. Cet examen vise à mettre en évidence certaines anomalies caractéristiques d’une DMLA au niveau de la macula, de la rétine et des vaisseaux rétiniens.
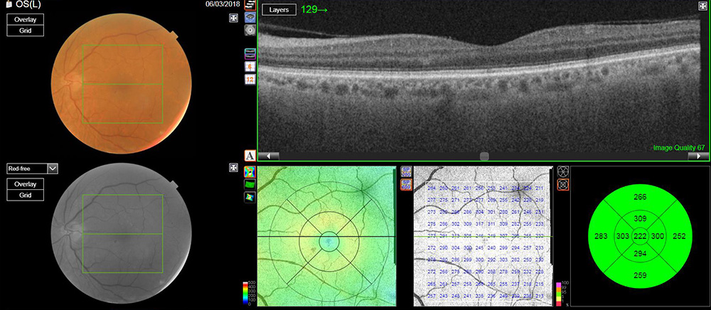
- L’OCT
L’OCT
L’OCT (tomographie en cohérence optique) permet d’explorer en détail et en coupe les couches de tissu constituant la rétine, un peu comme un scanner. Cet examen permet notamment de mesurer l’épaisseur de la rétine afin de suivre son atrophie dans le temps, et d’observer les modifications structurelles des couches rétiniennes afin de caractériser les lésions maculaires. C’est un examen nécessaire pour distinguer les différentes formes de DMLA avant d’envisager un traitement ou une angiographie.
OCT d’une rétine normale

OCT montrant un décollement de l’épithélium pigmentaire et un décollement séreux rétinien typique d’une DMLA

- L’angiographie
L’angiographie
Une angiographie à la fluoréscéine ou au vert d’indocyanine (ICG) sera réalisée en cas de DMLA exsudative suspectée ou avérée. Cet examen consiste à photographier les vaisseaux de la rétine après injection intraveineuse d’un colorant fluorescent par voie veineuse pour mettre en exergue la présence de néovaisseaux.
Drusen typiques de la MLA

Néovaisseaux (occultes) typiques de la DMLA

Comment traiter la DMLA ?
Le cas de la DMLA atrophique (ou sèche)
La DMLA atrophique ne bénéficie à ce jour d’aucun traitement permettant d’enrayer sa lente évolution mais de nombreuses recherches sont en cours pour mettre au point une thérapie. Outre les mesures de prévention décrites précédemment, les compléments alimentaires semblent constituer la meilleure solution pour ralentir le processus de cette forme de DMLA et réduire les complications. Ils doivent être pris sur conseil médical afin d’écarter les risques de surdosage ou d’interaction médicamenteuse et ne peuvent se substituer à une alimentation saine.
Pour améliorer la qualité de vie des patients, notamment au début de la maladie, quand la macula n’est pas complètement détruite mais modérément abîmée, des aides optiques grossissantes alliées à un éclairage artificiel puissant peuvent être proposées.
Dans les formes évoluées, une rééducation orthoptique basse vision peut également apprendre aux patients à mieux utiliser la rétine périphérique qui reste fonctionnelle afin de faciliter leur autonomie (comme lire son courrier ou verser de l’eau dans un verre par exemple).
Enfin, une surveillance régulière est indispensable pour limiter les complications, à savoir une évolution vers des formes exsudatives.
Le cas de la DMLA exsudative (ou humide)
Pour les formes de DMLA humide, il existe des solutions thérapeutiques qui ont prouvé leur efficacité si le patient est traité rapidement après l’apparition des premiers signes.
Le traitement de référence vise à lutter contre la prolifération des néovaisseaux choroïdiens responsables des hémorragies et à assécher les œdèmes de la rétine malade par l’utilisation de médicaments anti-VEGF (facteur de croissance endothélial vasculaire).
Le traitement est injecté directement à l’intérieur de la cavité vitréenne de l’œil, par piqûre à l’aide d’une aiguille très fine, d’où son nom « injection intra vitréenne » (IVT). Les injections, réalisées sous anesthésie locale dans une salle blanche dédiée, sont rapides, indolores et très bien tolérées.
Cette thérapie antiangiogénique permet le plus souvent de stabiliser la maladie, voire même dans certains cas d’améliorer la vision, surtout si le traitement a été administré à un stade précoce. La durée d’action des médicaments anti-VEGF étant limitée dans le temps, les IVT doivent le plus souvent être pratiquées à intervalle régulier sur de longues durées pour éviter une rechute. Le nombre et le rythme des injections est défini par l’ophtalmologiste en fonction de l’évolution de la maladie observée au cours de la surveillance.
Les IVT peuvent être associées à un traitement par laser PDT dans de très rares cas et pour des formes très particulières de DMLA exsudative.
La réussite du traitement sera confirmée par des OCT maculaires réguliers et par angiographie. Mais il faut garder à l’esprit que la DMLA est une pathologie chronique qui demande un suivi à vie, même lorsque la maladie semble stabilisée car une dégradation est toujours possible, même après des années de stabilisation.
Consultez la fiche d’information SFO sur le traitement de la rétine par laser
Consultez la fiche d’information SFO sur les injections intravitréennes
FAQ
Qu’est-ce que la DMLA ?
La DMLA est une maladie dégénérative de la macula (zone centrale de la rétine) qui affecte la vision centrale, indispensable à la lecture, à la conduite ou à la reconnaissance des visages.
Quels sont les types de DMLA ?
Il existe deux formes : la DMLA sèche (évolution lente) et la DMLA humide, plus agressive, qui peut provoquer une perte visuelle rapide.
- Quels sont les premiers signes de la DMLA ?
Quels sont les premiers signes de la DMLA ?
Les lignes droites qui deviennent ondulées, les lettres qui semblent floues ou les tâches sombres au centre du champ visuel sont des signes d’alerte.
- Comment diagnostique-t-on une DMLA ?
Comment diagnostique-t-on une DMLA ?
Par un examen de la rétine, une OCT et parfois une angiographie. Un test simple à domicile, la grille d’Amsler, permet aussi de détecter des anomalies.
- Existe-t-il un traitement ?
Existe-t-il un traitement ?
La forme humide peut être stabilisée par des injections intraoculaires régulières. La forme sèche ne se traite pas mais peut être ralentie par des compléments alimentaires spécifiques et un suivi régulier.